Un accidente, un golpe inesperado o incluso morder algo demasiado duro puede resultar en una fractura dental. Cuando un diente se rompe o se astilla, no solo hablamos de dolor; se trata de una emergencia que afecta su capacidad de comer, hablar y, fundamentalmente, su estética dental. La aparición de una fractura, ya sea leve o grave, requiere una intervención profesional inmediata, especialmente si usted vive en Ñuñoa y busca una solución rápida y duradera.

En Clínica Dental Trinidad entendemos la angustia que produce una fractura. Este artículo, elaborado por nuestros especialistas en estética y rehabilitación, lo guiará a través de los diferentes tipos de roturas, le indicará cómo actuar de inmediato y le presentará las soluciones definitivas que ofrecemos para que pueda reparar su diente roto y recuperar la confianza en su sonrisa en nuestra clínica de Ñuñoa.
Reconociendo los tipos de fractura dental y su urgencia
Una fractura no siempre es visible ni causa dolor. El tipo de rotura determinará la urgencia del tratamiento, el costo y la solución requerida. Es fundamental diferenciar el alcance del daño, ya que cada capa del diente presenta un nivel de gravedad diferente:
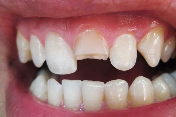
1. Astillamiento o fractura del esmalte (la capa superficial)
Esta es la forma más común y menos grave. Solo afecta la capa externa y más dura del diente, el esmalte.
- Síntomas: Puede que solo sienta un borde áspero o note una pequeña muesca. La sensibilidad suele ser mínima o inexistente. Es común en los bordes de los dientes frontales.
- Tratamiento profesional: Aunque no es una urgencia vital, debe ser tratada para prevenir el desgaste y futuras roturas. Se resuelve típicamente con un pulido y, si es necesario, una pequeña reconstrucción estética.

2. Fractura de la corona con afectación de la dentina (la capa media)
La fractura es más profunda y ha penetrado el esmalte, llegando a la dentina, la capa sensible y porosa que se encuentra justo debajo.
- Síntomas: Sensibilidad aguda y punzante al frío, al calor o al aire, ya que la dentina contiene túbulos que conducen al nervio. Puede haber dolor al masticar. La dentina expuesta suele ser de un color más amarillento.
- Tratamiento profesional: Es una urgencia de mediana gravedad. Debe cubrirse rápidamente para evitar que el diente se infecte o que la sensibilidad se vuelva crónica. Se necesita una restauración con resina o una carilla.

3. Fractura dental con exposición pulpar (afectación del nervio)
Esta es una fractura grave y una urgencia odontológica mayor. La rotura es tan profunda que expone la pulpa, el tejido que contiene vasos sanguíneos y nervios.
- Síntomas: Dolor intenso, pulsátil y espontáneo que no cede. Puede haber sangrado visible en el punto de la fractura. El riesgo de infección y pérdida del diente es altísimo.
- Tratamiento profesional: Requiere acción inmediata para proteger la pulpa. El tratamiento comienza con una terapia de urgencia y, casi siempre, culmina en una endodoncia (tratamiento de conducto) para eliminar el tejido infectado y luego restaurar la pieza con una corona.
4. Fractura de la raíz (grieta vertical)
Las grietas que se extienden desde la corona hasta la raíz (verticalmente) son las más difíciles de diagnosticar y las más graves.
- Síntomas: Dolor al morder y posiblemente hinchazón de la encía o una fístula.
- Pronóstico: Si la grieta es profunda y se extiende por debajo del nivel de la encía, lamentablemente la única solución suele ser la extracción dental, ya que la fractura permite la entrada constante de bacterias y no puede ser sellada.

Primeros auxilios ante una fractura dental en Ñuñoa: Cómo actuar en el momento
Si usted o alguien cercano sufre una fractura dental, la forma en que actúe en los primeros minutos es crucial para el éxito del tratamiento en la clínica:
- Encuentre y preserve el fragmento: Si el trozo de diente se salió, recójalo. Si está limpio, guárdelo en leche fría o en suero salino. En algunos casos, el fragmento puede ser cementado nuevamente, por lo que debe ser conservado.
- Controle el sangrado: Si la fractura está sangrando, aplique presión suave con una gasa o toalla de papel limpia.
- Reduzca la hinchazón: Aplique una compresa fría o hielo envuelto en un paño en la zona externa de la mejilla para reducir la inflamación y el dolor.
- Llamada inmediata: No intente auto-diagnosticarse. Contacte a Clínica Dental Trinidad para programar una cita de urgencia. El tiempo es crucial, especialmente si siente dolor o el diente se salió por completo.
Soluciones profesionales en Ñuñoa: Reparación estética y duradera
Una vez que llegue a nuestra clínica, y después de evaluar la profundidad de la fractura mediante radiografías, su dentista en Ñuñoa le propondrá la mejor solución estética y funcional. Nuestro objetivo no es solo arreglar el daño, sino borrarlo.
| Tipo de Fractura | Solución Profesional en Clínica Trinidad | Ventajas Estéticas y Funcionales |
| Astillamiento/Esmalte | Pulido y Contorneado | Solución rápida en una sola visita. Mejora la apariencia del diente y elimina bordes ásperos. |
| Dentina (sin exposición pulpar) | Reconstrucción con resina (tapadura) | Rápido y económico. Material de alta estética que imita el color del diente natural. |
| Fractura frontal estética | Carillas dentales (porcelana o resina) | Máxima estética. Solución duradera que cubre la superficie visible del diente. |
| Exposición pulpar (nervio) | Endodoncia + Corona | Salva el diente. La corona devuelve la funcionalidad y protege la estructura debilitada. |
El arte de la reconstrucción estética
Para las fracturas en los dientes frontales, la estética es la máxima prioridad. Las reconstrucciones modernas con resina de alta estética permiten a nuestros especialistas restaurar la forma original del diente, logrando un resultado que es prácticamente invisible.
Sin embargo, para fracturas más extensas, las carillas dentales (ya sea de porcelana o composite) son la mejor inversión. Una carilla cubre la superficie dañada, pero permite mejorar, de paso, el color y la forma del diente. Esto es ideal para garantizar una sonrisa uniforme y sin rastros del daño. En casos donde se necesita una protección estructural completa (después de una endodoncia), la corona de porcelana es la opción más fuerte y duradera.
Evite futuras fracturas con medidas simples
Aunque los accidentes son inevitables, es posible reducir significativamente el riesgo de fracturas dentales con medidas preventivas sencillas:
- Uso de protectores bucales: Si practica deportes de contacto (fútbol, rugby, hockey, etc.), el uso de un protector bucal personalizado es fundamental. Este absorbe el impacto y puede salvar sus dientes de un traumatismo.
- Tratamiento del bruxismo: Si usted rechina o aprieta los dientes (bruxismo) durante la noche, la presión constante debilita el esmalte y puede causar grietas o fracturas internas. Utilizar una placa de relajación nocturna ayuda a distribuir la fuerza y a proteger sus dientes.
- Evite los malos hábitos: Nunca use sus dientes para cortar hilos, abrir envases, arrancar etiquetas o morder objetos extremadamente duros (como hielo o caramelos muy firmes).
- Controles regulares en Ñuñoa: Las caries no tratadas son el mayor factor de riesgo, ya que debilitan el diente desde dentro. Las revisiones periódicas permiten detectar debilidades antes de que el diente se fracture bajo presión.
Por qué elegir Clínica Dental Trinidad en Ñuñoa para su reparación de urgencia
Una fractura dental, grande o pequeña, no debe paralizar su vida ni afectar su confianza. En ese momento, usted necesita un equipo profesional que no solo pueda atender la urgencia, sino que ofrezca una solución de alta calidad estética para que el daño sea invisible.
En Clínica Dental Trinidad, somos expertos en la reparación de todo tipo de fracturas dentales con materiales de última generación. Le garantizamos un diagnóstico rápido y un plan de restauración que se ajusta a sus necesidades funcionales y estéticas. Si busca reparar su diente roto con el mejor resultado en Ñuñoa, estamos aquí para devolverle su sonrisa.




